Аргументы и Факты
udm.aif.ru
+7 (495) 646 57 57
16+
Удмуртия
Аргументы и Факты
udm.aif.ru
16+
Удмуртия
  • ФЕДЕРАЛЬНЫЙ
  • САНКТ-ПЕТЕРБУРГ
  • Адыгея
  • Архангельск
  • Астрахань
  • Барнаул
  • Беларусь
  • Белгород
  • Брянск
  • Бурятия
  • Владивосток
  • Владимир
  • Волгоград
  • Вологда
  • Воронеж
  • Дагестан
  • Иваново
  • Иркутск
  • Казань
  • Казахстан
  • Калининград
  • Калуга
  • Камчатка
  • Карелия
  • Киров
  • Коми
  • Кострома
  • Краснодар
  • Красноярск
  • Крым
  • Кузбасс
  • Кыргызстан
  • Марий Эл
  • Мордовия
  • Мурманск
  • Нижний Новгород
  • Новосибирск
  • Омск
  • Оренбург
  • Пенза
  • Пермь
  • Псков
  • Ростов-на-Дону
  • Рязань
  • Самара
  • Саратов
  • Сахалин
  • Смоленск
  • Ставрополь
  • Тверь
  • Тольятти
  • Томск
  • Тула
  • Тюмень
  • Удмуртия
  • Ульяновск
  • Урал
  • Уфа
  • Хабаровск
  • Чебоксары
  • Челябинск
  • Черноземье
  • Чита
  • Югра
  • Якутия
  • Ямал
  • Ярославль
  • НОВОСТИ
  • Вопрос-ответ
  • Спецпроекты
    • «АиФ. Доброе сердце»
    • Письма на фронт
    • Детская книга войны
    • Все спецпроекты
  • ПОЛИТИКА
    • Персона
    • Ситуация
  • ЭКОНОМИКА
  • ПРОИСШЕСТВИЯ
    • ДТП
    • ЧП
    • Криминал
  • ОБЩЕСТВО
    • Здравоохранение
    • ОБРАЗОВАНИЕ
    • Городская среда
    • ЖКХ
    • Люди
    • Персона
  • КУЛЬТУРА
    • Персона
  • ЗДОРОВЬЕ
    • Советы
    • Ситуация

    Свежий номер

    № 13. 01/04/2026
    Черновик от 30.03.2026 19:04 (Павел Нагорских)
    Издания
    АиФ в социальных сетях

    Новости по теме: шишка

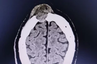
    В Ижевске спасли мужчину с опасной опухолью, которая выглядела как шишка
    В Ижевске спасли мужчину с опасной опухолью, которая выглядела как шишка 22.01.2026 16:03
    Когда пациент обратился в больницу, опухоль уже разрушала лобную кость.
    ЗДОРОВЬЕ

    Топ 5 читаемых

    • Кондитер из удмуртской деревни привезла две победы с Международного турнира
    • В Удмуртии в 2026 году планируют призвать в армию около 1500 юношей
    • В Удмуртии с 15 апреля поднимется тариф на муниципальный транспорт
    • Четыре человека попали в больницу после ДТП с грузовиком в Удмуртии
    • В Ижевске будут судить подростков, которые толпой избили пассажира трамвая
    udm.aif.ru
    udm.aif.ru
    • Контакты редакции «Аргументы и факты в Удмуртии»
    • Отдел рекламы
    • Реклама в газете «АиФ-Удмуртия»
    • Реклама на сайте «АиФ-Удмуртия»
    • Строчные объявления в газету
    • СООБЩИТЬ В РЕДАКЦИЮ ОБ ОШИБКЕ

    2026 АО «Аргументы и Факты» Генеральный директор Руслан Новиков. Главный редактор Михаил Чкаников. Директор по развитию цифрового направления и новым медиа АиФ.ru Денис Халаимов. Первый заместитель главного редактора, шеф-редактор сайта Рукобратский В. А.

    СМИ «aif.ru» зарегистрировано в Федеральной службе по надзору в сфере связи, информационных технологий и массовых коммуникаций (РОСКОМНАДЗОР), регистрационный номер Эл № ФС 77-78200 от 06 апреля 2020 г. Учредитель: АО «Аргументы и факты». Интернет-сайт «aif.ru» функционирует при финансовой поддержке Министерства цифрового развития, связи и массовых коммуникаций Российской Федерации.

    e-mail: glavred@aif.ru, тел. +7 (495) 646 57 57. 16+

    Все права защищены. Копирование и использование полных материалов запрещено, частичное цитирование возможно только при условии гиперссылки на сайт www.aif.ru.

    Партнер рамблера
    16+