Врачи ГКБ № 7 в Ижевске спасли мужчину с опасной опухолью, которая выглядела как шишка, сообщает пресс-служба минздрава Удмуртии.
В больницу обратился мужчина с шишкой на лбу. Он рассказал, что припухлость появилась после падения три недели назад, однако за это время она не исчезла, а, напротив, стала больше.
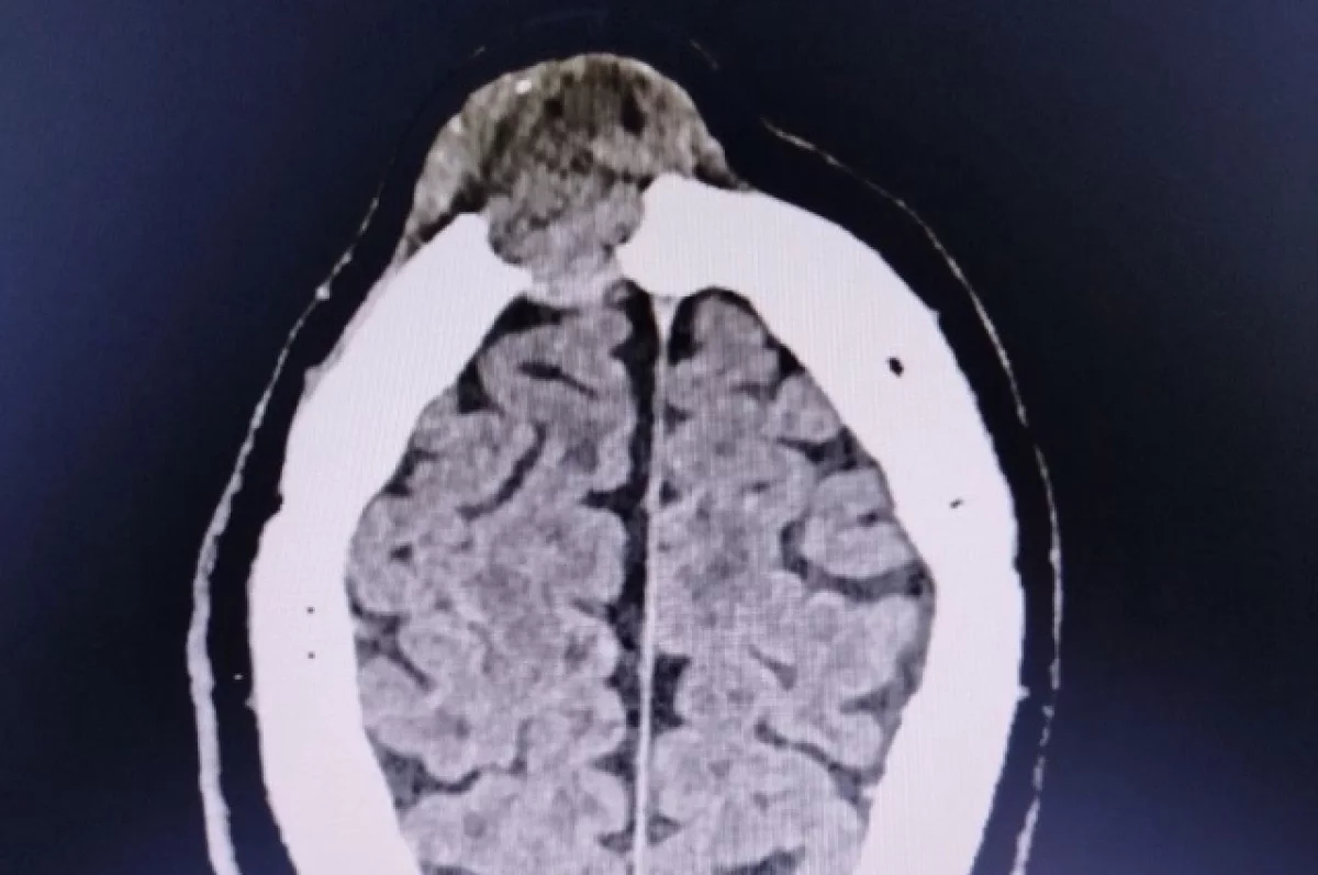
«Компьютерная томография показала опухоль, которая уже разрушала лобную кость. Пациента госпитализировали в нейрохирургическое отделение», — рассказали в пресс-службе.
Врачи также установили, что один край новообразования располагался над самой крупной веной мозга, а другой разрушал стенки лобных пазух, что серьёзно осложняло ситуацию. Выполнять хирургическое вмешательство взялись нейрохирурги Владимир Пашкин Владимир и Ольга Мурашова. В ходе операции они аккуратно вырезали опухоль и очистили поражённые лобные пазухи, а также восстановили целостность кости лба с помощью титановой пластины.
По данным минздрава, операция прошла успешно.
Напомним, ранее врачи Первой РКБ в Ижевске прооперировали участника СВО, который получил минно-взрывное ранение.
В Ижевске прооперировали участника СВО, получившего минно-взрывное ранение
В Ижевске врачи достали осколок у бойца СВО, пострадавшего при атаке БПЛА
Ижевские врачи удалили гигантскую опухоль, образовавшуюся на ноге пациента
В новогодние праздники ижевские врачи спасли мужчину от гангрены
Жителям Удмуртии напомнили о рисках крещенских купаний