Аргументы и Факты
udm.aif.ru
16+
Удмуртия
Аргументы и Факты
udm.aif.ru
16+
Удмуртия
Примерное время чтения: 1 минута
152

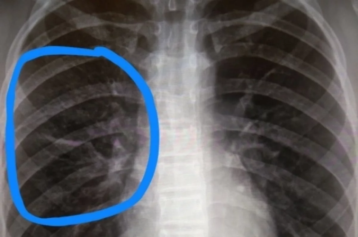
С начала года врачи выявили рак лёгких у 639 жителей Удмуртии

Ижевск, 7 ноября - АиФ-Удмуртия.

Врачи с начала года выявили рак лёгких у 639 жителей региона, сообщает пресс-служба минздрава Удмуртии.

В ведомстве отмечают: в половине случаев злокачественные образования диагностируются на поздних стадиях. Онкологи подчёркивают, что чаще всего заболевание выявляется у мужчин. 

Ключевыми факторами риска заболевания онкологией врачи называют хронические заболевания лёгких, контакт с вредными химическими веществами и курение. При этом у курильщиков риск развития злокачественных новообразований возрастает в 10 раз.

«Опасность рака лёгких в том, что явные внешние симптомы проявляются только на поздних стадиях. Это длительный кашель, боли в груди, кровохарканье, одышка с нарушением ритма и частоты дыхания, отёк лица и верхних конечностей, потеря веса без видимой причины», — рассказала заместитель главврача по медицинской части Республиканского онкодиспансера Светлана Лысанова. 

В минздраве подчёркивают, что развитие онкологии могут спровоцировать не только сигареты, но и вейпы.

Напомним, ранее врачи Первой РКБ в Ижевске провели сложную операцию бойцу СВО с осколочным ранением.

Оцените материал
Оставить комментарий (0)

Также вам может быть интересно

Топ 5 читаемых

Самое интересное в регионах